お知らせ

  1. ホーム
  2. お知らせ

お知らせ一覧

2020.05.08
定期健診・治療についてのお知らせ


新型コロナウィルスの世界的な蔓延で、歯科医院を訪れる患者様も感染リスクに敏感になっていることを感じます。

一方、私たち医療従事者も患者様が仮にどんな感染症に罹患し知らずに来院されたとしても、自分たちには感染しないよう、また拡散させないよう、しっかり防御しより一層の衛生管理対策の上、気を引き締めて衛生管理に努めております。

未知なるウイルスの脅威により、深刻な事態が続き、自粛による精神的疲れを感じる日々ですが、まだ先が見通せないのも事実です。普段と勝手が違い戸惑う日々ですが、ウイルスを拡散させないと同時に、自身の身体の免疫力を高めることがとても重要です。

口腔ケアをしっかりすることは、感染症リスクを大きく減らします。当医院で日頃お伝えしているブラッシング術、歯間清掃法など記憶を思い出していただき、毎日しっかり実践されてください。ご家族そろってブラッシングタイムを作り、家族皆さんで取り組むのもいいですね。お子様は、スマイルプログラムのノートを参考にしてください。

口腔内を清潔に保つことは、感染症ウイルスの定着を防ぎウイルス性疾患の予防につながることは間違いないです。

当医院では、三蜜状態を回避し、万全な除菌対策を行うため、予約数を調整しながら通常通り治療、予防とも診療を行っております。何かご心配ことがございましたら、まずお電話でご相談いただき、ご予約されてからご来院ください。検診・クリーニングのご予約もご自身の判断で受診されてください。

(コロナウイルス対策につきましては別途詳しく記載しております。ご参照ください)

 


2020.05.01
5月の診療予定


5月になり、新緑も青々として過ごしやすい気候となってきましたね。

しかし、世界中の新型コロナウイルスの流行により、普段の日常生活が規制され、みなさんも暮らしにくく感じる日々ではないでしょうか?こんな時でも街路樹や足元の草花たちはいつもと変わらず陽の光を浴びキラキラとして私たちの心を癒してくれています。

そんな中、私たちに出来る予防策として「手洗い、うがい」をきちんとしていくこと、ウィルスを運ばないようにじっとしていること。そして何より自身の免疫力を高めることが大切ですね。ウイルスの感染予防に口腔ケアも有効であることはみなさんご存知ですか?

新型コロナウイルスはまだ未知の領域ではありますが、口腔ケアによってインフルエンザなどのウイルス感染症予防につながることは分かっています。

歯磨きや口腔ケアをおろそかにしていると、虫歯や歯周病の原因となる菌が増殖してプラーク(歯垢)になることはよく知られています。このプラーク=(細菌の塊)には気管支炎や肺炎などの発症や重症化に関わる肺炎球菌やインフルエンザ菌の他、重篤な感染症の原因となる黄色ブドウ球菌、緑膿菌、セラチア菌などの細菌も含まれているとみられます。

これらの細菌はプロテアーゼと呼ばれる酵素を出し、ウイルスが気道の粘膜から細胞へと侵入しやすくする特性があるのです。つまり、お口の中が不潔な状態を放置しておくとプロテアーゼの量が増えていき、ウイルスなどの温床、栄養源となり感染症の発症や重症化を招きやすくするということです。

なので、今回のウイルス対策にも口腔内をきれいに保つことは感染予防になるといえるでしょう。

きれいに保つことにより、唾液の分泌が促進され唾液に含まれる成分の働きとして抗ウイルス作用が大いに貢献します。

今、外出しにくく通院が難しいですが、ご自宅で出来るセルフケアを心掛け感染予防につなげていきましょう。

Happyなものを発見して感動して。私たちのために働いてくださる多くの方々のおかげで生活できていることに感謝して…

心は明るい方向に!過ごしていきましょう。

 

 

 

                                      歯科衛生士 尾形由起

5月の診療予定

4月29日〈水)~5月6日(水) 休診

5月7日(木)診療いたします。

 

 


2020.04.01
4月の診療予定


4月を迎えました。何気ない普通の日常がいかに有難いかと感じる今日この頃ですね。

今年は新型コロナウィルスが蔓延した状況で、3月から4月の節目の行事が多く中止され、ざわめき多い4月の始まりとなっていますね。

各自、自分の健康に留意して、隣人を思いやり未知のウィルスの収束を祈りましょう。

 

唾液は天然の万病予防薬

現代人は唾液が少ない?

唾液とはお口の中に出される体液のことですが、これは実に身体を守る重要な役割を果たしています。

しかし、現代人はスマホ時間などが多く、会話が少ないため唾液が不足しがち。また軟らかい食事が増え、よく噛まなくなったことも大きな原因になっています。

唾液が減ると口内で虫歯菌や歯周病菌が増殖し、それが血管を通って全身に広がり、細菌の老廃物が血管に溜まって脳梗塞や心筋梗塞、動脈硬化などの病気を引き起こします。近年アルツハイマー型認知症も脳に付着した歯周病菌による影響があると解明されています。

唾液の主な働き

①消化作用・・・消化酵素の働きで食べ物を消化する

②殺菌・洗浄・保護作用・・・抗菌の他口の中を洗い流し粘膜に傷が出来ないよう守るベールの働き

③再石灰化・緩衝作用・・・歯の表面を守り、口の中を中和する働き

唾液アップへのヒント

①よく噛む・・・1口で30回位の咀嚼が理想

②水分補給・・・お水が一番 糖分のない飲み物

③口を動かす・・・会話などで口を動かす 口内に空気を入れ膨らませて動かす

唾液は加齢的影響で30代をピークに減少してきます。検診時に、唾液を出しやすくするマッサージ法などお伝えしていきます。唾液をしっかり出し、健康生活に活かしましょう。

      歯科衛生士  福増 喜美恵

 

4月の診療予定

4月29日から5月6日まで休診いたします。

他日曜日、祭日、木曜日は休診です。


2020.03.19
新型コロナウィルス感染予防対策

この度の新型コロナウィルス感染の拡大について、皆さま大変ご心配のことと存じます。

当医院でも日常の感染予防よりもさらに消毒のレベルを上げた対応を行い、

今後しばらくは、行政機関の指導に従い、細心の留意をはらい感染予防対策をしてまいります。

院内での追加対策といたしまして、主に下記の事項を追加しております。

  ※来院された方全員に受付にて、アルコール手指消毒

  ※患者様ごとのチェアユニットの消毒

  ※待合室の時間単位での消毒

  ※受診患者様の体調確認強化(発熱・咳・のどの痛みなどの問診確認)

今、世界中が未知の新型コロナウィルスの影響でかく乱されております。

皆様、こんな時だからこそ、心の落ち着きを取り戻すために自分ができることは

何なのか考えて冷静に行動していきましょう。

最後に、この新型コロナ対策につきまして、ある県知事の方のメッセージに心が温まりましたので

ご紹介いたします。

 

県民の皆様へのメッセージ

ウィルス感染は、ご本人の意思で行われたものではありません。またダイアモンドプリンセス号からの下船者や、

感染者の職場の方々などの検査を実施した方は、国の基準で検査が必要な方だけでなく、県の独自の検査に

快く応じていただいた方々も含まれます。

未知のウィルスで姿が見えないため、県民の皆様にとって不安や恐れの気持ちはあろうかと思いますが、

こうした方々やその関係者の方々も、我々と同じ普通の県民であることに一切変わりはありません。

何卒、こうした方々やその関係者を、地域社会や人の輪から遠ざけるようなことはせず、むしろ「大変だったね」

と声をかけていただきたいと思います。

私たちが、西日本豪雨被害で学んだのは、人の絆の強さであり、大切さです。

ウィルスを過度に恐れ、地域で共に生きる方々を攻撃・排除したり、傷つけたりするのではなく、むしろ今こそ

他人を思いやり、皆で手を取り合って、この不安と危機に対処していきましょう。

後文省略

 

 

 

 

  


2020.03.01
3月の診療予定



今年は暖冬ですっかり春めいてまいりました。

桜の開花も早まりそうですね。

昨年10月より福増歯科医院の一員となりました

歯科衛生士の福田千尋(フクダチヒロ)と申します。

皆様のお口の健康を守るため、日々精進してまいりたいと思いますので

どうぞよろしくお願いいたします。

 

今回はブラッシング圧と間違った歯みがきによる害についてお話ししたいと思います。

ブラッシング圧とは歯磨きするときの力加減のことです。

適正な圧は150g~200gくらいで、キッチンスケールに歯ブラシを置いて

150gの力を測ってみてもいいですし、自分の爪に歯ブラシを押し当てて

爪が白く変化するタイミングくらいの力加減が目安です。

歯ブラシを握って持つことで力が入りすぎることが多いため

鉛筆持ち(ペングッリプ)持つことをお勧めします。

鉛筆持ちで歯ブラシの毛先を使うような感覚で磨きましょう。

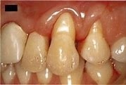
汚れを落とそうと力任せに磨くと、歯肉を傷つけ、歯肉退縮を起こしたり

歯の根元を削り取ってしまいます。

このようなことが起こると歯が染みるという

知覚過敏の症状が現れたりしてきます。

 

間違った歯ブラシ圧による害

①歯肉退縮

 乱暴なブラッシング、力の入れすぎ、毛先の広がった歯ブラシの使用など

②擦過傷

 磨きすぎによる歯肉の傷で口の中の粘膜や歯肉に起こります。

 歯肉退縮の時と原因は同じですが、歯ブラシを新しくした時、

 硬めの歯ブラシを使用した時も気を付けてください。

③クレフト

 歯との境目の歯肉が、Ⅴ字型をした裂け目ができる現象のことで

 プラークの停滞による歯肉炎の歯肉に過度の歯ブラシ圧が加わったことで

 起こります。かみ合わせの異常により起こる場合もあります。

④フェストゥーン

 歯肉の縁が浮き輪状に盛り上がった形態異常です。

 原因はクレフトと同様で間違ったブラッシング圧、力の入れすぎ

 のより起こります。主に犬歯付近に生じます。

このような歯肉の状態を未然に防いだり、悪化させないためにも

正しい歯磨き方法を身につけましょう。

歯磨きの方法や歯肉の状態など気になることがございましたら

お気軽に私どもにご相談ください。

               歯科衛生士  福田 千尋

3月の診療予定

3月19日木曜日は一日診療いたします。

そのほか日曜、木曜、祝日はお休みです。

 

 

 


定期健診・ホワイトニング・インプラントなど歯に関することはお気軽にお問い合わせください

当院はお電話による予約制です。痛みのある方は、お電話にてご相談ください。

  • お電話でのお問い合わせ
  • メールでのお問い合わせ
PAGE TOP