お知らせ

  1. ホーム
  2. お知らせ

お知らせ一覧

2020.02.01
2月の診療予定



例年の冬は、必ず手袋を身に着けていたはずなのに、

今年はまだ手袋をしていない自分に気づきました。

過ごしやすいのはうれしいですが、

この暖かさには違和感を覚えてしまいますね。

 

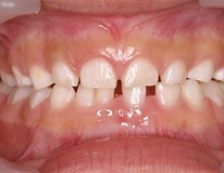
今回は、歯の形態異常についてお話したいと思います。

まずは癒合歯です。これは出現頻度も高くご存知の方も

いらっしゃると思います。

乳前歯部で多く、2本の歯がくっついて1本になっているので癒合部の溝に

プラークが溜まりやすく、虫歯になりやすいところになります。

次に基底結節、中心結節の形態異常です。

これは歯の一部が円錐状の棘のように突き出した形態をしているものです。

これらは前歯や奥歯(第一、二小臼歯)に出現するためご本人も気づかないことが多いです。

しかし、この棘(とげ)のようなところにも神経(歯髄)が伸びていて

食事などで折れてしまうと突然虫歯のような神経の痛みが出たり

また知らない間に神経に感染して神経が死んでしまうことがあります。

棘が細長く折れてしまうようなリスクのある方は、虫歯の治療で詰める

ようなプラスチックであらかじめ補強することが出来ます。

皆様も鏡の前で一度大きくお口を開けて、自分の歯の形態を把握していただくと

良いかと思います。

                 歯科医師 安西 佐衛子

2月の診療予定

2月13日木曜日、27日木曜日は1日診療いたします。

日曜日、祝日、その他木曜日は休診です。


2020.01.01
2020年1月 診療予定



新年あけましておめでとうございます。

本年もどうぞよろしくお願いいたします。

 

人生100年時代到来、老後資金2000万円必要、どう生き抜くかなどと

世間を騒がせ話題となった昨年でしたが・・・

よく考えてみると100年間元気で健康に楽しく暮らしていくことは

みな他人ごとではなく、個人個人が多くの課題を努力して

クリアしていかないといけないですよね。

国を挙げて生活習慣病の予防対策が叫ばれておりますが、

歯科医療を担う当院では、お口の健康をサポートしていく中で、

虫歯や歯周病の生活習慣病を予防していく方策として

日本の未来を担う子供たちの口の健康をしっかり確立することこそ

この解決の大きな突破口になると考えております。

何より小さいころからの健康意識です。

子供のむし歯は、全体には減少したとは言うものの

二極化しただけでハイリスクの子供も数は減っておりません。

歯磨き習慣も仕上げ磨きをしてもらっているという受身の姿勢のまま

大人になり、結局歯磨き習慣が身についていないケースも見受けられます。

また近頃では、硬いものが苦手な”噛まない子供”や、”お口ポカンの子供”など

口腔機能の低下も大きな問題となっております。

幼少期より”自分の健康は自分で守る”という健康意識を育んでいけば、

日本の将来”健康な人生100年時代”を実現できると考えます。

当医院では、子供の歯科検診では、ブラッシング指導などの健康教育に

比重を置き、検診のたびに自分の口の中の変化を感じてもらい、

自分の口の中は自分で守るという意識が養えるよう”子供スマイルクラブ”

を立ち上げて健康教育に重きを置いた定期検診プログラムに取り組んでおります。

家族一丸となって、健康を意識した生活を過ごしていきましょう。

きっと何か得られるものがあるはずです。

     福増歯科医院  院長  福増久佳

1月の診療予定

12月29日から1月5日まで年末年始休暇

1月16日木曜日 1日診療

日曜祝日と他木曜日は休診です。

診療カレンダーをご参照ください。


2019.12.01
12月の診療予定



12月になり、今年も残すところあとわずかとなりました。

年末を迎えなにかとお忙しい日々をお過ごしのことでしょう。

体調管理に気を付けて、元気にお過ごしくださいね。

 

皆さんは虫歯になりやすい場所を知っていますか?

専門的には、三大不潔域といいますが、

歯の形態から、共通して虫歯になりやすい部分があります。

今回はその部分について詳しくご説明いたします。

歯ブラシをするとき、そのポイントをおさえてブラッシングすると予防効果が上がります。

 

①歯と歯の間

 歯の側面は丸みを帯びてカーブしている形態の為

 歯と歯の間は細長い谷状の隙間空間があり、歯ブラシの毛先が入りにくになっています。

②歯の根元

 歯の根元には歯肉が被っていて、ポケット状にくぼみがあります。

 加齢やブラッシング圧によって歯肉が退縮したり、

 歯肉炎で歯肉が腫れて膨らんだり形態が変化するので

 歯ブラシが当てにくくなります。

③奥歯の噛み合わせの溝

 形状が極端に複雑で、歯ブラシの毛先が届きにくい、非常に狭い溝の集合している場所

この①②③を三大不潔域といいます。

プラスしてもう一か所

④歯と詰めものの間の隙間

治療済みの被せ物や詰め物は、年数が経つと擦り減ったり、剥がれたりしてきます。

それで間に隙間が出来て虫歯の再発を起こします。

 

これらの部分にしっかり歯ブラシの毛先を当ててブラッシングすることが大切ですが、

 歯ブラシだけでは歯面全体の60%しか磨けないのが実情です。

歯間部や歯ぐきとの境目など虫歯ができやすい場所に合わせて

デンタルフロスや歯間ブラシ、ワンタフトブラシなどを使用することも大事です。

虫歯の早期発見、歯周病予防のためにも定期的に歯科検診を受けましょう。

 

          歯科衛生士   金城

 

12月の診療予定

12月29日から1月5日まで年末年始休暇の為休診

日曜、木曜日休診

他カレンダー通り診療いたします。

 


2019.10.30
上作延小学校 歯科保健指導



10月24日(木)

小学校2年生の児童対象

大人の歯の生え変わり時期のむし歯予防について

学年全体で勉強会をしました。

小学生の時期は、乳歯と永久歯の混在する時期で

大変むし歯に罹りやすいです。

歯は萌出後、始めの3年間にむし歯になるケースが

大変多いという特性があります。

萌出したばかりの大人の歯は、表面のエナメル質が

まだ未完成で酸に溶けやすい幼弱エナメル質の状態が

弱いということが理由です。

この時期に萌えてくる6才臼歯(第1大臼歯)の

役割や特徴を学ぶとともに、各自の口の中を

赤染めして実際に染まった所の磨き方を学んで

自分で落としていく実習もしてきました。

皆真剣なまなざしで一生懸命取り組んでいました。

自分の健康について学ぶ機会はとても重要だと

感じると共に、自分の健康は自分で守るという

意識を育んいきたいと思いました。

 

 


2019.11.01
11月の診療予定


11月になり肌寒さも感じ、秋本番となってまいりました。

季節の変化で体調も崩れやすくなりますので

皆様体調には十分お気を付けください。

さて、歯科医院に通っている方の中には、歯に銀歯などが

入っているかたもいらっしゃると思います。

昔は、治療したらだいだい銀歯になりましたが、

最近の治療では歯の色調に近い白いかぶせ物や詰め物の種類も増えて

きて、いろいろと患者様の選択肢が増えているのをご存知ですか?

保険診療が適用になるCADCAM冠やレジンジャケット冠などは

見た目に歯に近い白い色調なので、治療後目立ちにくく人気です。

昔からのなじみのメタルは、強度が高く奥歯などの力が入るところに

よく使われますが、条件によって白いCADCAM冠に置き換えることもできます。

かみ合わせの歯の状態による制限などありますので、

気になる方は当院のスタッフにお尋ねください。

それ以外にも、保険外の自費診療として、優れた材質のものがあります。

ジルコニヤやセラミックなどの材料を使用し色調や硬度など

保険適用の材質では出せない天然歯に近く自然で変色もしにくいものです。

お値段は25000円から80000円(税別)くらいで部位や材質の配合比率

によって違いがあります。

患者様の治療の歯の部位や状態に応じて、選択肢をご提案いたしております。

既存の治療済みの銀歯など見た目が気になり悩んでいる方も多い

ですのでどうぞ一度ご相談してみてください。

               アシスタント    湯川 風音

 

11月の診療予定

11月14日(木)  1日診療

11月21日(木)  1日診療

11月22日(金)  17:30までの診療

そのほか日曜、木曜、祭日は休診

 

 

 


定期健診・ホワイトニング・インプラントなど歯に関することはお気軽にお問い合わせください

当院はお電話による予約制です。痛みのある方は、お電話にてご相談ください。

  • お電話でのお問い合わせ
  • メールでのお問い合わせ
PAGE TOP