お知らせ

  1. ホーム
  2. お知らせ

お知らせ一覧

2025.06.01
6月の診療予定


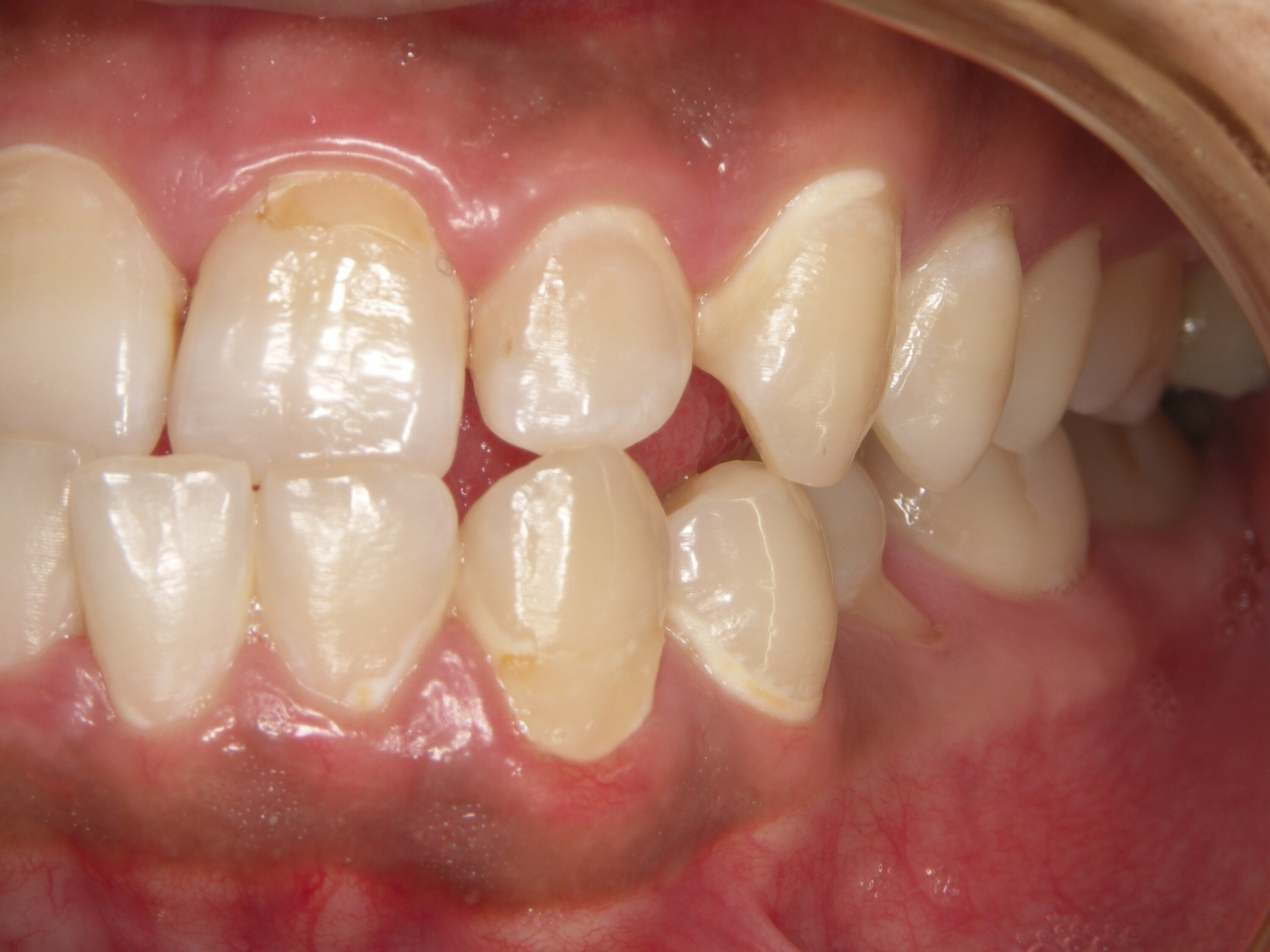
今月は「初期虫歯」についてお話しします。虫歯はミュータンス菌などの細菌が、砂糖から酸を作り出して歯を溶かすこと(脱灰)によって起こります。しかし、人体には生体防御反応が備わっているので、唾液の成分である程度修復(再石灰化)されます。 この、歯の脱灰と再石灰化を繰り返している状態を「初期虫歯」と言います。最近ではこのバランスが取れていれば、虫歯は進行しないことがわかってきました。 一昔前は、早期発見早期治療が推奨されていたので、「初期虫歯」は予防的に全て削って治療していました。しかし、一度削った歯質は戻ってきません。今は初期虫歯は口腔内を清潔に保てれば「初期虫歯」は進行しない場合があるので、経過観察にすることが多いです。 初期虫歯は歯が白濁したり、黒や茶色に着色することで発見されます。 当院では歯質にレーザーを当てることで虫歯の進行度を測ったり、レントゲンで虫歯の大きさを確認して、進行性の虫歯のみを治療することを心がけております。 また、定期検診のたびに要注意部や磨き方をご指導させていただいております。 皆様に少しでも削らず、綺麗な歯を長くお使いいただけるお手伝いができたら幸いです。 それでも、虫歯が進行してしまった場合でも、なるべく痛みの少ない最小限の治療を目指しておりますので、ご相談下さい。

                                        歯科医師 相場奈緒美

6月の診療予定

日曜日休診

カレンダー通りの診療です

 


2025.05.01
5月の診療予定


新緑の季節を迎え、新たな生活にも慣れてきた頃ではないでしょうか。

今回はホワイトニングについてご説明したいと思います。

ホワイトニングとは、過酸化水素を主成分とする薬剤を用いて歯の黄ばみを取り除いて白くする施術です。

薬剤を歯に浸透させることで、歯に沈着している着色物質を分解して白くしていきます。

薬剤の濃度はさまざまで、家庭で使用できる低濃度の薬剤のほか、

医療機関でのみ取り扱いが可能な高濃度の薬剤などがあります。

薬剤を使用してホワイトニングを行うと、一時的に歯の表面にあるエナメル質が

脱灰(ミネラル分が溶け出す状態)するため、ダメージを受けやすい状態になりますが、

通常は唾液によってすぐに再石灰化(歯を修復する働き)が起きるため、

脱灰したままになることはありません。

「歯がもろくなる」と気になる方もいらっしゃるでしょう。

そのように言われるのは、薬剤に対するイメージや施術後にしみる症状が出るからなど、

いくつか理由があります。

ホワイトニングに使用される薬剤には、過酸化水素のほか、過酸化尿素や酸化チタン、

チッ素などの成分が含まれます。

これらの成分は歯科医師の指示のもとで適切に使用されていれば、

歯に大きなダメージを与えることはありません。

施術中・施術後に歯や歯茎がしみる場合がありますが、

ホワイトニングを行う際は歯の表面を覆っている「ペリクル」というタンパク質の膜が

剥がれてしまうため、一時的に知覚過敏のようなしみる症状が出る方も少なくありません。

ペリクルの再生には12〜24時間ほど時間が必要で、再生されるまでは刺激を受けやすい状態になります。

そのため、ホワイトニングの施術後は、冷たいものや温かいもの、酸性のものなど、

刺激になり得る飲食物を避ける必要があります。

適切な濃度で薬剤を使い、正しい方法で施術を行えば、ホワイトニングのリスクはそこまで大きくなく、

安全に施術が可能です。もちろん、歯を弱くすることもありません。

最近は、日本製のものから海外製のものまで、インターネット上でさまざまなホワイトニンググッズを購入できますが、なかには薬剤の濃度や詳しい使用方法が記されていない製品も少なくありません。

ホワイトニングには、歯医者さんで行うものや自分で行うものなど、いろいろな方法があります。

薬剤を適切に使用していれば歯がもろくなるリスクの心配はほとんど不要です。

当院では病院で施術するオフィスホワイトニングの他、ご自宅で行うホームホワイトニング、

手軽にお使いいただけるホワイトニングgoの商品を取り揃えております。

今月末までキャンペーンを行なっておりますので、気になる方はこの機会にスタッフまでお訪ねください。

 

               歯科助手 吉岡晴子

5月の診療予定

5月1日(木) 終日診療

5月8日(木) 終日診療

5月15日(木)午前診療

5月22日(木)午前診療

5月29日(木)午前診療

日曜・祝日休診

 


2025.03.19
診療時間 変更のお知らせ

患者様各位

日頃より当院をご愛顧賜りまして感謝申し上げます。

当院は1992年の開院当初より現行の診療時間にて体制を整えてまいりましたが、

院長をはじめ、長年勤務しております職員の諸事情を踏まえて働き方改革を行い、

2025年5月より診療時間を改訂し、新体制をとらせていただきます。

この新体制によりご不便をおかけしてします患者様もあろうかとは存じますが、どうぞご了承ください。

スタッフ一同 今後も歯の健康を守っていくことに一生懸命邁進していく所存です。

新しい診療時間は以下の通りです

月曜日 午前9:30~13:00    午後14:30~19:30(最終受付18:30)

火曜日 午前9:30~13:00    午後14:30~18:00(最終受付17:00)変更

水曜日 午前9:30~13:00    午後14:30~18:00(最終受付17:00)変更

木曜日 午前9:30~13:00    午後 休診

金曜日 午前9:30~13:00    午後14:30~19:30(最終受付18:30)

土曜日 午前9:30~13:00    午後14:30~17:30(最終受付16:30)

日曜日 祭日休診

      (2025年5月12日より)


2025.04.01
4月の診療予定


4月になりすっかり春めいて来ましたね。新年度の始まりです。

ファミリー検診の勧め

【子は親の鏡】ということわざの通り、親の健康意識が」高ければ子も自然と健康を重要視します。

保護者と連れ立って子供が検診に足を運ぶことで、おのずと自分のお口の中の状況を知り、

興味をもちはじめます。歯ブラシの仕方も学び、『自分の健康は(お口の中)自分で守る』という

プロセスを育んでいくことでしょう。

当院では、虫歯、歯周病などの発生を防いでいくための診療を心がけております。

特に幼少期からの歯科保健指導の働きかけが、日常の習慣となり、健康意識の強化につながります。

今後の日本国民の健康を支える基盤になると考えております。

皆様家族お揃いで歯科検診を受診しましょう。

福増歯科医院 歯科衛生士  福増喜美恵


2025.02.01
2月の診療予定

2月になりまだ寒い日が続いていますがこの時期になると花粉が飛びはじめ悩ましい時期でもありますね。

皆様のご体調はいかがでしょうか?

花粉症の症状は目や鼻、喉の痒み、くしゃみ、鼻水鼻詰まり…と色々な症状がありますが、花粉症の症状がお口の不調と関わりがある場合があります。

鼻詰まりにより口呼吸になったり、花粉症薬(抗アレルギー薬)の副作用で唾液の分泌が悪くなり口が乾燥しやすくなります。

唾液には口、体の健康にとても大事な働きがあり、消化・口の粘膜の保護・洗浄・殺菌・緩衝・再石灰化などの作用があります。

唾液が少なく口が乾燥すると食べものが飲み込みづらくむせやすくなったり、会話がしずらくなってしまいがちです。

そして唾液が減ることのもう一つの悪影響が細菌が繁殖しやすくなり虫歯や歯周病が進行しやすくなってしまうのです。

唾液には免疫力を高める効果もあり風邪やインフルエンザなどの感染症の予防にも役立つといわれています。

お口を動かすことにより唾液の分泌を促すことができます。

あいうべとお口を動かす体操や舌の運動、唾液腺を刺激してマッサージをすることも改善の1つです。

口の中を広げる意識をして、唾液線を刺激しましょう。

そして水分を多めにとって、口を潤すことも大切です。

花粉症の時期はお口の中のトラブルが起きやすい時期かもしれません。

定期検診、メインテナンスでお口のチェックを受けていただくことをオススメします。

どうぞご相談ください。

              歯科衛生士  松澤 千秋

2月の診療予定は、カレンダーにてご参照お願い致します。

 


定期健診・ホワイトニング・インプラントなど歯に関することはお気軽にお問い合わせください

当院はお電話による予約制です。痛みのある方は、お電話にてご相談ください。

  • お電話でのお問い合わせ
  • メールでのお問い合わせ
PAGE TOP