お知らせ

  1. ホーム
  2. お知らせ

お知らせ一覧

2024.03.01
3月の診療予定


初めまして。昨年5月より福増歯科の一員となりました、武村真樹と申します。

皆様のお口の健康のお役に立てる様に日々努力し、笑顔で頑張ります。どうぞよろしくお願いいたします。

今回は「エナメル質形成不全」についてお話いたします。

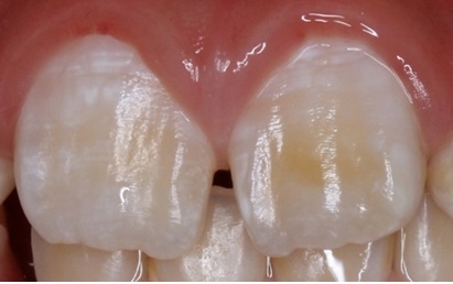
エナメル質形成不全とは? 歯はエナメル質や象牙質など、いくつかの組織によって構成されています。

エナメル質形成不全は、歯の表面にあるエナメル質が上手く形成できていない状態です。

歯が生えた直後から見られる白、黄色、茶色の変色で、歯の質が弱いためむし歯になりやすく、進行もしやすいのが特徴です。

場合によっては歯の一部が欠けた様になっていることもあります。また、刺激に対して弱くなり、知覚過敏の状態になることもあります。

6歳臼歯に多く見られますが、前歯や乳歯にも見られます。 原因は? はっきりとした原因はわかっていません。

考えられることとしては、歯が作られる時期(妊娠中~乳幼児期の間)に栄養不全や早産、発熱性の疾患や感染症、

内分泌異常などの全身的状態が影響して起こる場合や、乳歯の重度のむし歯、外傷などの様々な原因から起こると言われています。

歯が生えてきた時に、お子様の歯が元々変色していて心配されたり、検診等でエナメル質形成不全がありますと言われて不安になる親御さんもいらっしゃいます。

エナメル質形成不全といっても、程度は様々で、程度に合わせた対応が必要です。

対応について 軽度の場合は、フッ素塗布をし、歯の強化をはかります。ご自宅でもフッ素入り歯磨き剤の使用をお勧めします。

歯が大きく欠けている場合は詰め物や被せものの治療が必要ですが、成長に伴いかみ合わせなどが変化していくため、

成長が終わり安定してから最終的な治療になる場合もあります。 お子様の歯の事で心配な事がありましたら、お気軽にご相談ください。

エナメル質は歯が生える前に形成されるので、歯が生えてきてからエナメル質形成不全を改善することはできません。

むし歯にならない事を目標にします。そのためには歯医者での定期的な検診と、お家での適切なセルフケアの両方でむし歯予防をしていく事が大切です。

当院では、親御さん及びお子様自身でも正しくお口のケアが出来る様なサポートに力を入れています。

正しい知識を得て、エナメル質形成不全の歯でもむし歯にしないよう予防していきましょう。

                                           歯科衛生士 武村真樹

3月の診療予定

3月7日(木)、14日(木)、28日(木) 午前診療

3月21日(木)1日診療

日曜日、祝日は休診


2024.02.01
2月の診療予定

厳しい寒さとなる2月を迎えました。新型コロナウィルスもまた流行してきております。

皆様、感染対策に気をつけてお過ごしください。

さて、今回は洗口液の効果についてお話をしていきます。 近年テレビCMや広告などでもよく見かける洗口液ですが、

使用すれば汚れが落ちる、歯磨きの代わりに洗口液だけで大丈夫と思っている方がときどきいらっしゃいます。

洗口液はあくまで歯磨きの補助アイテムであり、歯周病や虫歯の原因となる歯垢そのものを落とすことは出来ません。

しかし、補助の役割として洗口液を使用するのは大変有効であり、虫歯や歯周病の予防のためにも積極的に取り入れていくべきだといえるでしょう。

洗口液の具体的な効果は以下の通りです。

・口臭予防

・口腔内の殺菌

・虫歯予防

・歯周病予防

・歯垢付着の予防 など

さらに、洗口液を使用することで歯ブラシでは届かない喉の奥や舌、頬粘膜などの菌も殺菌することができるため、

口腔内のトラブルだけでなく感染症の予防にも役立ちます。

洗口液といっても、フッ素配合のものや虫歯・歯周病予防ができるものなど、さまざまな種類のものがあります。

ご自身の合った洗口液を選ぶためには、まずご自身のお口の状況を知ることが重要です。

気になる方は歯科医院で医師や衛生士に相談することをおすすめいたします。

お家でのセルフケア、歯科医院でのプロフェッショナルケアに洗口液の習慣を加え、よりよい口腔環境を目指しましょう!

当院では歯科医院専売の洗口液 モンダミンハビットプロをおすすめしています。

こちらは、上記の効果はもちろん抗ウィルス剤が含有されており、インフルエンザやコロナウィルスの除菌にも効果があります。

当院のインスタグラムにて詳しく紹介しておりますので、ご興味のある方はぜひご覧ください。

 

2月の診療予定

2月1日木曜日 午前診療

2月8日木曜日 午前診療

2月15日木曜日 一日診療

2月22日木曜日 一日診療

2月29日木曜日 午前診療

日曜日、祝日は休診です


2024.01.01
謹賀新年 1月の診療予定


新年あけましておめでとうございます。

暖冬の穏やかなお正月となっておりますね。本年もどうぞよろしくお願いいたします。

新年早々に過激なフレーズで失礼いたします。

 

Floss or die?(フロスしますか?それとも死にますか?)

結構強い言い回しですが、アメリカではフロスはこのくらい大切な行いと知られています。

『フロスをしないで歯周病になってそれが原因で病気になり死んでしまってもいいですか?』ということです。

『口腔ケアをしっかりやらないと身体の健康を守れない』という認識は欧米やヨーロッパ諸国では当たり前の発想です。

当院では我が国でもフロス(歯間ブラシも含む)のある生活が当たり前になり、口の中をきちんとケアして誰もが自分で自分の健康を守ることが必然になることを願って発信し続けています。

特に幼少期からの習慣づけが肝心で、未就学児はおうちの方の仕上げ磨きにフロスをプラス、小学生くらいから糸ようじによるセルフケアをスタートさせ、10歳くらいから自分でフロスが使えるように指導しております。

過日も学校医の立場から、上作延小学校の5年生に向けての講演の中でこの話題をお話したところです。

当院での定期検診は、『自分の健康は自分で守る』健康教育の場と位置付け、歯みがきやフロス指導をしながら口腔ケアの大切さを個人のお口の状況に合わせてサポートしております。

特にお子様には半分以上の時間が歯科保健指導にあたり、学校では習わない生きる上でとても大切な健康教育の場として歯科衛生士を中心に取り組んでおります。

子供は日常的に身近な大人たちの姿から学びを得ます。

大人も子供も歯ブラシとともに歯間清掃をしっかり身につけて、自分の健康を守っていきましょう。

        福増歯科医院 院長 福増久佳

 

1月の診療予定

本年度より木曜日も診療いたします。詳細はホームページ、Instagram、院内掲示にてご確認ください。

 

1月4日まで年始休暇 1月5日(金)より通常診療いたします。

1月11日(木) 1日診療

  18日(木) 午前診療のみ

  25日(木) 午前診療のみ

日曜・祝日は休診


2023.11.27
木曜診療開始のお知らせ

令和6年1月より診療休診日となっておりました木曜日も診療(予防歯科・急患対応)いたします。

当面の診療時間スケジュールにつきましては、院内掲示、インスタグラム、ホームページなどで

お知らせいたします。ご不明な点はスタッフにお声がけください。

    福増歯科医院  院長 福増久佳


2023.12.01
12月の診療予定


寒く乾燥する季節になりました。 皮膚だけでなくお口の中も冬が一番乾燥しやすい季節だと言うことをご存知でしょうか?

体内水分量が減少すると,唾液の分泌量ももちろん減少します。

その他にも加齢、ストレス、口呼吸、飲酒、全身疾患、内服薬の副作用など 様々な原因で唾液の減少することが知られています。

厚生労働省のサイトには、「唾液には粘膜保護・自浄・水分平滑・潤滑・緩衝・抗菌・ 消化・組織修復・再石灰化・発がん予防などの作用があり口腔のみならず、 身体が正常な機能を発揮するためなくてはならない」

と書かれています。

私の経験では、唾液が少ない方は次のような傾向があると思います。

*虫歯・歯周病

*口臭

*口内炎

*舌がヒリヒリする舌痛症

*滑舌が悪い  などです。

唾液の少ない方には以下のことを試していただきたいと思います。

①意識して水分を取る

②唾液腺マッサージをする

③表情筋を動かす(あいうべ体操など)

④キシリトールやポスカガムを噛む

⑤漢方薬を飲む

⑥鼻呼吸をする

特に②③④⑤については歯科領域で詳しくご説明いたします。

お気軽にご相談ください。 唾液の力で寒い冬も感染症に負けず健康に過ごしましょう!

    歯科医師  相場奈緒美

 

12月の診療予定

日曜日、木曜日休診

12月28日(木)~1月4日(木)年末年始休暇


定期健診・ホワイトニング・インプラントなど歯に関することはお気軽にお問い合わせください

当院はお電話による予約制です。痛みのある方は、お電話にてご相談ください。

  • お電話でのお問い合わせ
  • メールでのお問い合わせ
PAGE TOP