お知らせ

  1. ホーム
  2. お知らせ

お知らせ一覧

2016.09.01
9月の診療予定


今年の夏も終わりに近づいていますが

まだまだ暑い日が続いていますね。

熱中症にならなくても「ちょっと夏バテ気味かも...」

という方も大勢いらっしゃることでしょう。

でも夏バテするのは体だけでしょうか?

実は、お口の中も夏バテをするんですよ!!

なんとなくいつもより口の不快感が増していませんか?

暑い夏は体調だけでなく口腔環境も悪化します。

まず気になるのが口臭ですが...

口臭の原因は繁殖した菌によって発生します。

普段は唾液の自浄作用によってある程度は

菌の繁殖がおさえられていますが

夏に汗をかくことで体内の水分が不足しやすく

唾液の分泌量がへりがちになり

夏バテをすると免疫の低下と唾液の自浄作用低下の

ダブルパンチでお口の中の菌が繁殖してしまう危険があり

口臭の原因にもなります。

水分補給に、麦茶や水など糖分の入っていないものを

多めに摂取して、口の中を潤してあげましょう。

身体全体の健康のためにも、今日からはお口の中の

夏バテ防止にも意識してあげてください。

まだまだ残暑厳しい晩夏をうまく乗り切って、

心も身体も口の中も、元気に美味しい秋の季節を迎えましょう。

 

            アシスタント    石塚さゆり

 

9月の診療予定

カレンダー通り

日曜・木曜・祝日が休診になります。

 


2016.08.01
8月の診察予定



8月になりました。今年も暑さの厳しい夏になりそうですね。

皆さま、熱中症には気をつけてお過ごしください.

私たちも体調管理に気をつけて仕事をしていかなければと思っています。

 

歯を失う原因には主に虫歯と歯周病の2つがあります。

お口の中にはミュータンス菌という虫歯菌が存在します。

ミュータンス菌は砂糖をエサにして増えていき、酸というものをつくります。

その酸によって歯が溶けるのが虫歯のはじまりです。

歯には3大不潔域というところがあります。

①歯と歯肉の境目

②歯と歯の間

③奥歯の咬み合わせの面の細かい溝

この3つが、プラークがたまりやすい➡歯ブラシが届きにくい➡虫歯の好発部位 

となります。

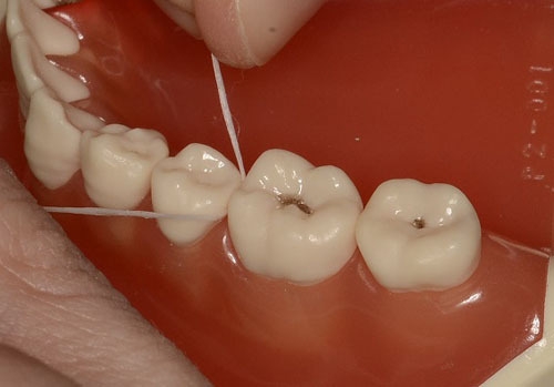
特に歯と歯の間には歯ブラシの毛先は届かないため、デンタルフロスや歯間ブラシが必要になります。

歯と歯の間の清掃は虫歯だけでなく歯周病の予防にも大変重要です。

忙しい日々の中、なかなかブラッシングに時間をとることが

難しい方も多いと思います。

まずこの3点をおさえるようにしてみてください。

そして、ブラッシングだけではなく歯を強化させるフッ素や虫歯菌を弱め、

酸をつくりにくくする効果のあるキシリトールなどを

うまく活用して虫歯を予防していきましょう。

当院では定期的に検診を受けられることをおすすめしています。

虫歯のチェック、清掃道具の使用方法、

虫歯の予防方法などその方にあった予防方法を

お話しさせていただいております。

                                                                                       

                    歯科衛生士 松澤

 

 

《8月の診療予定》

8月14日(日)~21日(日)まで夏季休診となります。

他はカレンダー通り診療いたします。

 


2016.06.28
7月の診療予定



夏の到来まであと少しですね。今年の夏の気温は高いのか、低いのか、天気予報が気になるところです。程々が良いですね。

 

今回は歯の組織構造について簡単にお話ししたいと思います。

歯はエナメル質・象牙質・セメント質の3種の硬組織と

神経にある歯髄組織から成り立っております。

その中でも歯の表層部エナメル質は、ヒトの体の中で最も硬く、

水晶に相当する硬さです。

このエナメル質の微妙な組成比重が遺伝によるもので、

虫歯になりやすい、なりにくいを左右させているのです。

一般的にエナメル質の化学組成は重量比でいうと96%の無機質、

2%の有機質、2%の水分からできています。

この無機質のうちヒドロキシアパタイトという成分の含有量が最も多いのです。

ヒドロキシアパタイト成分がしっかり成り立っている人は、

硬いエナメル質の持ち主で、虫歯にかかりにくくなります。

歯磨剤でよく聞く、薬用ハイドロキシアパタイトは、

リン酸とカルシウムなどから合成されていて、

歯を構成する天然ヒドロキシアパタイトに極めて近い組成で、

歯に直接作用し、馴染みやすいミネラル成分ですので、

エナメル質の強化には、ハイドロキシアパタイト入りの

歯磨きペーストなどがオススメです。

また2%の有機質は、無機質の硬い組成に「しなり」を与えます。

硬いだけだと強い衝撃に「欠け」「割れ」「ヒビ」などの

「もろさ」も持ち合わせていますが、これを緩和し、耐久性を与えるのです。

最後に2%の水分は、歯の色調に関係しています。

これが個人の摂取する食品の嗜好のバランスにより、

長年かけて着色し、歯のくすみや黄ばみなどの色調の変化をもたらします。

気になる方は、ホワイトニングでこの水分の着色を抜けば色調が明るくなり、

エナメル質の無機質本体の白さに戻すことが出来ます。

歯のエナメル質だけでも実にこれだけの意味のある組成で成り立っているのですね。

7月1日から9月30日まで、ホワイトニングキャンペーンも実施しております。

詳しくはスタッフにお尋ねください。

 

歯科技工士  小島 貴子

 

7月21日(木)AM診療致します。

他カレンダー通り、日・木・祝日休診です。


2016.06.13
良い歯のコンクール2016



 

65日 川崎市エポック中原にて、良い歯のコンクール表彰式が行われました。

 

川崎市内の全歯科医院より、推薦を受けた全身の健康はもとより歯の健康状態が優れた方々に贈られる表彰状です。

 

56歳児とその家族、1112歳児とその家族、70歳代高齢者、80歳代高齢者の4部門

 

の表彰がありましたが、当院からは3組の方々が優秀賞での表彰を受けました!

 

 

 

《表彰者のご紹介》

 

 

 

56歳児とその家族部門】

 

優秀賞    黒川 悠衣さん  黒川 理沙様

 

 

 

1112歳児とその家族部門】

 

優秀賞    杉本 ゆりさん  杉本 いずみ様

 

 

 

70歳代  高齢者部門】

 

優秀賞    林 栄一様     (下作延在住)

 

 

 

 

 

皆さんもお口の健康に強い関心を持たれ、日ごろからブラシングケアを

 

ご自身でもしっかりされ、虫歯なく、健康な歯肉で健康を保たれている方々です。

 

皆様おめでとうございます!!

 


2016.06.01
6月の診療予定


すがすがしい初夏の季節となりました。

皆さんいかがお過ごしでしょうか。

今回は『お口の中の細菌』についてお話したいと思います。

私が歯科大学生のころのお話ですが、

授業である教授から

「お口の中の汚れを、家の中の汚れに例えると

どこの汚れと似ていると思いますか。」と質問されました。

皆さんどのあたりだと思いますか?

私も色々と想像しましたが・・・、

先生の答えはあまりにショッキングなものでした。

想像を絶する答えでした。

「台所の排水口です。」と言われたのです。

大きなショックを受けたことを今でも鮮明に覚えています。

しかし同時に・・・

だからこそ日々の歯ブラシや歯間ブラシ等での清掃が大事で、

それ以上に大切なものはないと納得したのです。

お口の中は、排水口よりもはるかに複雑で繊細です。

当然お口の中に、強力な薬剤を使用したり、

硬いたわしなどでごしごし磨くわけにはいきません。

歯肉を傷つけず、隙間やくぼみまできれいにお掃除するのは、

意外に高度なテクニックが必要だと思います。

自分のお口の中は、なかなか自分で隅々まで見ることができません。

だからこそ現在自分が行っている歯ブラシがどの程度磨けているかを

知ることが、虫歯、歯周病、口臭予防の第一歩となります。

当院の検診では、必要に応じてお口の中の細菌を赤く染めだし、

どこに磨き残しがあるのかや、どうしたらうまく落とせるかなどを

アドバイスさせていただいております。

定期的な検診でお口の中の細菌を減らし、良い環境を

継続していきましょう。

 

歯科医師  相場 奈緒美

 

6月の診療予定

6月6日(月)   午後の診療は、スタッフ研修のため15:00より

         診療開始いたします。

その他日曜日・木曜日はカレンダー通り休診です。


定期健診・ホワイトニング・インプラントなど歯に関することはお気軽にお問い合わせください

当院はお電話による予約制です。痛みのある方は、お電話にてご相談ください。

  • お電話でのお問い合わせ
  • メールでのお問い合わせ
PAGE TOP